kienbock disease surgery recovery time

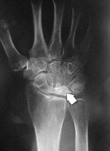
Popular topics On the part of the bodyFeaturedPatellofemoral Pain syndrome Broken neck fracture (broken collar)Public themes by the body Knee ArthroscopyTotal Hip ReplacementPopular Thematics By Part of the Body Activities After Kneeator Cuff and Shoulder Conditioning ProgramPopular Themes By BodyFeoneturedA Safety Guide Your best health. Diseases " Highlights Treatment of Popular Themes Popular Theme Recovery Popular Themes Maintain HealthyFeaturesPopulers PrintEmailFacebookTwitterKienböck's DiseaseKenböck's disease is a condition where the blood supply is interrupted to one of the small bones of the wrist, the lunatic. The bone is living tissue that requires a regular supply of blood to nourish. If the blood supply to a bone stops, the bone can die. This is called osteonecrosis. The damage to the lunatic causes a painful and rigid wrist and, over time, can lead to arthritis. Because the cause of Kienböck's disease is not known. Many people with Kienböck's disease think they have a sprained wrist at first. They may have experienced some form of wrist trauma, like a fall. This type of trauma can interrupt blood flow to the lunatic. Some things may put you at greater risk for the disease. For example, most people have two glasses that supply blood to the lunatic, but in some people there is only one source. This can delay blood flow to the bone. Also, if the two bones of the forearm (the radio and ulna) are different lengths, you can press extra to the lunatic during some wrist movements. Over time, this extra stress on the bone can lead to Kienböck disease. SymptomsThe most common symptoms of Kienböck's disease include: Medical Exam Kienböck's disease is a condition that progresses slowly, and many people don't decide to see a doctor until they have experienced symptoms for several months, perhaps more. During your first appointment, your doctor will discuss your symptoms and medical history, and then examine your hand and wrist. In its early stages, Kienböck disease may be difficult for your doctor to diagnose because the symptoms are so similar to those of a sprained wrist. Imaging tests, such as X-rays and MRI images, are used to confirm a diagnosis of Kienböck disease. Kienböck disease progresses through four stages of gravity. If you are diagnosed with Kienböck disease, your doctor will plan your treatment based on several factors, which is more important, the stage of your progression. Stage 1During the first stage of the disease, the symptoms are similar to those of a wrist sprain. Although the blood supply to the lunatic has been interrupted, X-rays may appear normal or suggest a possible fracture. An MRI analysis can better detect blood flow and is useful for making diagnosis at this early stage. Stage 2The lunar bone begins to harden due to lack of blood supply during Stage 2. This hardening process is called sclerosis. In addition, the lunatic will appear brighter or whiter in X-ray areas, indicating that the bone is dying. To better assess the condition of the lunatic, your doctor may also order MRI scanners or CT scans. The most common symptoms during this stage are wrist pain, inflammation and sensitivity. Stage 3In the third stage, the dead lunar bone begins to collapse and break into pieces. As the bone begins to break, the surrounding bones can begin to change the position. During this stage, patients often experience growing pain, weakness in grip and limited wrist movement. Stage 4If the condition progresses to Stage 4, the surfaces of the bones surrounding the lunatic also deteriorate, and the wrist can become arthritic. Treatment Although there is no complete cure for Kienböck disease, there are several non-surgical and surgical options to treat it. Treatment goals are to relieve pressure on the lunatic and try to restore blood flow inside the bone. Related Articles Wrist Arthritis Wrist Sprains Non-surgical Treatment In the very early stage of the disease, pain and inflammation can be given with anti-inflammatory drugs, such as aspirin or ibuprofen. Doll immobilization for a period of time can help relieve pressure on the lunatic, and your doctor may recommend spine or casting for 2 to 3 weeks. It is important to monitor any changes in your symptoms during the early stage of Kienböck disease. If the pain is not relieved with simple treatments or returns, the doctor may recommend surgery. Surgical Treatment There are several surgical options to treat Kienböck disease. The choice of the procedure will depend on several factors, in particular to what extent the disease has progressed. Additional factors to consider are the patient's level of activity, personal objectives and the surgeon's experience with the procedures. Revascularization. In some cases, it may be possible to return the blood supply to the lunar bone. This procedure is called revascularization. It is more successful during the early stages of the disease—stages 1 and 2—before the lunatic has deteriorated significantly. Revascularization involves the removal of a portion of bone with attached blood vessels from another bone — most of the time a bone from the forearm (radius) or an adjacent bone in the hand. This piece of bone with its blood supply is called vascularized graft. It is inserted into the lunar bone. To help the bones remain in place during healing, an external fixer can be temporarily applied. This is a metallic device attached to the outside of the wrist with nails inserted into the bones. It can relieve pressure on the lunatic while the graft is healing and restoring a blood supply. Joint leveling. If the two bones of the lower arm are not of the same length, a joint leveling procedure may be recommended. Bones can be made longer using bone grafts or shortened by removing a section of the bone. This leveling procedure reduces the forces that compress the lunatic and often stops the progression of the disease. Approximate line spectomy. If the lunatic collapses severely or breaks into pieces, it can be eliminated. In this procedure, the two bones on each side of the lunatic are also eliminated. This procedure, called proximal row carpectomy, will relieve pain while maintaining partial wrist movement. (Left) The three wrist bones that are removed in a proximal row carpectomy are shaded here. (Right) An X-ray image of a wrist after a proximal row carpectomy. Fusion. To relieve pressure on the lunatic, the nearby bones of the wrist can be merged together to make a solid bone. A fusion can be partial, in which only some of the bones are merged. This procedure relieves pain and retains some wrist movement. If the disease has progressed to severe wrist arthritis, fusing all wrist bones to the radio will relieve pain and improve the hand function. Although the whole wrist movement is eliminated in a complete fusion, the rotation of the forearm is preserved. In a fusion, the bones of the wrist are held along with a plate, screws and pins. ResultsThe disease of Kienböck varies considerably in its severity, as well as its rate of progression. Each patient's response to treatment depends on the degree of damage to the bones of the lunar and surrounding wrist. Some patients may require more than one procedure if the disease continues to progress. In short, patients with Kienböck disease should not expect to return to normal wrist function after any treatment. However, treatment provides the greatest opportunity for long-term preservation of function and pain relief. Last revision May 2012 Contributed Updated byPeer-Reviewed byAAOS does not support any treatment, procedures, products or doctors referred here. This information is provided as an educational service and is not intended to provide medical advice. Anyone looking for specific orthopedic advice or assistance should consult your orthopedic surgeon, or locate one in your area through the AAOS program on this website. Copyright ©1995-2021 by the American Academy of Orthopaedic Surgeons. All material on this website is protected by copyright. All rights reserved. This website also contains copyrighted material by third parties.
Kienböck's Disease - OrthoInfo - AAOS

Kienbock's Disease - Physiopedia

Kienbock's Disease | Orthogate

Kienbock's Disease - Physiopedia

Radiologic Guide to Surgical Treatment of Kienbock's Disease - ScienceDirect
Kienböck's Disease - OrthoInfo - AAOS

Avascular Necrosis of the Lunate (Kienbock's Disease)

Kienbocks Wrist Disease Specialist Dallas

Kienbock's Disease | Top Doctors

Kienbock's Disease: Symptoms, Treatment, and More

Kienbock's Disease | Orthogate

Patient Education | Concord Orthopaedics

Lunate excision with capitohamate fusion in the treatment of stage IIIB and IIIC Kienböck's disease - ScienceDirect

Conditions and Treatments

Radiologic Guide to Surgical Treatment of Kienbock's Disease - ScienceDirect

Pioneering 3D Printed Wrist Prosthesis for Kienbock's Disease - 3DPrint.com | The Voice of 3D Printing / Additive Manufacturing

Conditions and Treatments

Kienbock's Disease - Hand - Orthobullets

Kienbock's Disease Surgery, Treatment, and Recovery | Train with Kat

Physical Therapy in Buffalo for Wrist - Kienbock's Disease

Fundraiser by Rachel RURdy4It : My Life Changing Kienbock Disease

Kienbocks Wrist Disease Specialist Dallas
Kienböck's Disease - OrthoInfo - AAOS

Kienbock's Disease - Hand - Orthobullets

Kienbock's Disease Surgery, Treatment, and Recovery | Train with Kat

Kienbock's Disease - Physiopedia

Avascular Necrosis of the Lunate (Kienbock's Disease)

What is Kienbock's Disease? - WristSupports.co.uk

Kienbock's Disease - Hand - Orthobullets

My Experience With Kienbock's Disease - YouTube
Kienböck's Disease - OrthoInfo - AAOS

Kienbock's Disease - Hand - Orthobullets

Vascularized Bone Graft to the Lunate Combined with Shortening of the Capitate and Radius for Treatment of Advanced Kienböck Disease After a Follow-Up for More Than 10 Years - ScienceDirect

What Is Kienböck's Disease? - Orthopedic & Sports Medicine

Wrist Fusion

Kienbocks Wrist Disease Specialist Dallas

Life with Kienbock's Disease

Kienbock's disease

Kienböck's disease: Symptoms, causes, and treatment
Kienböck's Disease - Symptoms And Possible Treatments [Easy Guide] - Orthopedic Surgeons Boca Raton and Boynton Beach - Orthopaedic Surgery Associates
Posting Komentar untuk "kienbock disease surgery recovery time"